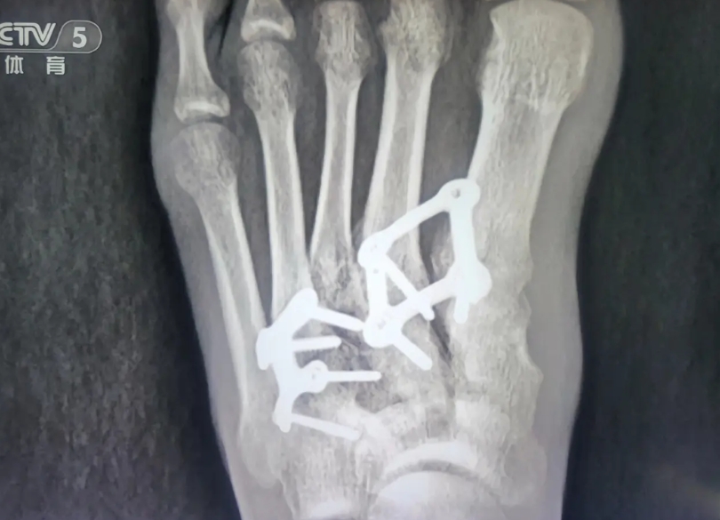
中国式师徒情 世锦赛颁奖仪式后,石雨豪接受央视采访时含泪感激教练:“在我伤痛的8年里,教练一直陪伴着我。我们之间早已不只是教练与队员的关系,更像是一位父亲对待孩子,所以我非常感谢我的教练!” 无独有偶,教练朱华刚在接受采访,谈及石雨豪8年前受伤的情况时,也不禁潸然落泪。二人完美诠释了虽无血缘,却胜似血亲的中国式师徒情。





中国式师徒情 世锦赛颁奖仪式后,石雨豪接受央视采访时含泪感激教练:“在我伤痛的8年里,教练一直陪伴着我。我们之间早已不只是教练与队员的关系,更像是一位父亲对待孩子,所以我非常感谢我的教练!” 无独有偶,教练朱华刚在接受采访,谈及石雨豪8年前受伤的情况时,也不禁潸然落泪。二人完美诠释了虽无血缘,却胜似血亲的中国式师徒情。





作者最新文章
热门分类