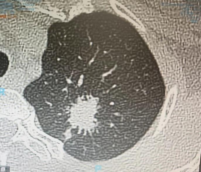
门诊来了一对夫妻,先生50岁上下,坐在那儿一声不吭,脸色沉沉的。他太太站在身后,一句接一句地跟我说他的情况,从语气上能听出十分的着急。 这场景我突然觉得特别熟悉——再仔细一看,才想起来这位先生两年前其实来找过我。 那时候他查出来肺上有个肿块,大家都以为是肺癌,连手术都准备安排了,就在术前,我多问了一句:“平时晚上睡觉,会不会出汗低热?” 他愣了一下,说确实经常睡到半夜一身湿透。 就这一句话,让我觉得不对劲。我建议他先别急着手术,去排查一下结核。结果出来,果然是肺结核——不用开刀,吃药就行。 那为什么两年后,他又来找我了呢? 他太太说,之前吃药后病灶确实小了,两年都挺平稳。可最近复查,报告上写着“肺结节,有毛刺,早期肺癌待排除”。两个人一看,顿时慌了神。 我把他这次的片子和两年前的对比了一下,心里就有数了。这个结节,在抗结核治疗后的头一年里,其实一直在慢慢缩小,直到最近这一年,已经完全稳定、没再变化了。 虽然报告上写着“毛刺”“恶性可能”,但时间已经给出了答案:这是个结核治好后留下的陈旧灶,说白了,就是肺上的一道“疤痕”。 我看着他和他太太,很肯定地告诉他们:“别担心,这个不是肿瘤,是良性的,定期复查就行”...... 他们俩的表情,一下子就松了下来。所以也想借这个事跟大家说,影像报告上的描述,不是绝对的“判决书”。有时候,时间才是最好的医生——它能告诉我们什么是真凶,什么是虚惊。[作揖][玫瑰]

