一个奇效古方,名气不大,却是肺纤维化专方 每一次呼吸都变得费力,持续的、撕心裂

李李李清波 2025-12-28 13:54:29

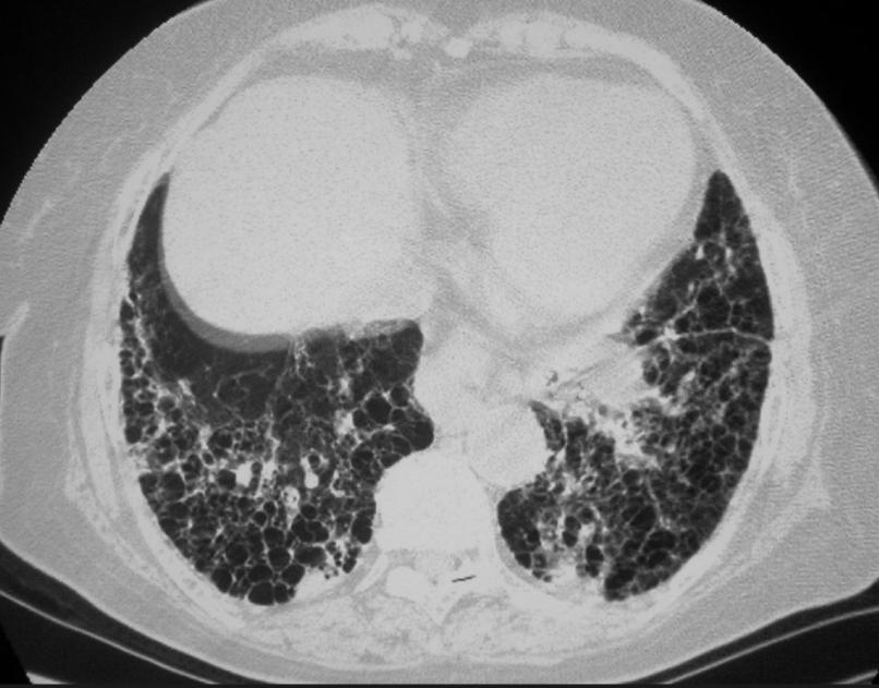
一个奇效古方,名气不大,却是肺纤维化专方 每一次呼吸都变得费力,持续的、撕心裂肺的干咳,却咳不出什么东西;稍稍走几步路就喘不上气,必须停下来大口呼吸;嘴唇和指甲不知不觉中泛出青紫色。感觉自己的肺逐渐干涸、变成失去弹性的海绵。 肺纤维化,在中医理论核心病机在于 “气虚血瘀,络脉痹阻,痰瘀互结,肺络成癥”。简单来说,就是肺气长期亏虚,失去推动力,导致血液和津液运行不畅。血停则为瘀,津停则为痰,痰和瘀像胶水一样黏滞,最终堵塞、痹阻了肺部络脉。络脉不通,气血无法濡养肺组织,肺体失养而逐渐干瘪、僵硬、纤维化。 在中医的宝库中,有一个方子,名气虽不显赫,但其组方思路却精准扣住了肺纤维化的核心病机 —— 它就是 “益气通络消癥汤”。 方解: 全方仅八味药,却环环相扣:以黄芪补气为发动机,以丹参、三七活血消癥为主力军,以浙贝母化痰散结为协同,以地龙通络平喘为尖兵,再以麦冬、甘草滋阴调和为后勤保障。共奏 益气活血、化瘀通络、消癥散结 之效。 案例分享: 曾诊治一位68岁的男性肺纤维化患者,确诊两年,曾使用激素治疗,副作用明显后寻求中医。 来时面色发黑,口唇发紫,行走不足百米即喘促不止,干咳连连,夜间尤甚,严重影响睡眠,舌质紫暗,苔少,脉细涩。西医CT提示双下肺网格状、蜂窝状改变。 辨证属 “气虚血瘀,络阻肺痿”。 以 “益气通络消癥汤” 为底方:重用黄芪、丹参,加莪术助活血消癥,加山茱萸、五味子益肾纳气、收敛肺气,以防咳得厉害耗伤肺气。 服药一月后复诊,患者自述咳嗽频率减少,夜间能安睡数小时,散步时气促感略有减轻。 坚持调治半年后,患者精神状态明显好转,日常室内活动已无明显气促,复查肺部CT提示纤维化病灶范围未见明显进展。目前仍在门诊间断调理,稳定病情,提高生活质量。 注:本文所述方药及案例旨在分享中医学术思路,不做调理依据,任何调理都必须在专业指导下进行,切勿自行试药!

0 阅读:64

猜你喜欢