“不幸中的万幸”!2023年,福建福州,一女子体检时,发现肺部有数个小结节,但她拒绝了手术,长期服用偏方,一年多后确诊肺癌晚期,预估生存期可能不足3个月,好在最后医生发现了罕见靶点,精准用药,成功挽救了女子的性命!网友:真是奇迹啊!
2023年,福建福州的陈女士做常规体检时,查出肺部有几个小结节,当时医生看了报告就明确建议,这种有风险的结节,最好赶紧做手术切掉,省得以后出麻烦。
可陈女士一听说要做手术,立马就打退堂鼓了——毕竟,谁不怕挨一刀啊?而且她总觉得这小结节没多大事,抱着侥幸心理,直接拒绝了医生的专业建议。
从那以后,她再也没去医院复查,也不搞什么规范治疗,反倒到处打听能“化结节”的偏方,不管是啥草根树皮,还是别人传的神秘食疗方,她都一股脑往嘴里塞,坚信这些土方子能把结节消掉。
就这么稀里糊涂拖了一年多,陈女士开始频繁咳嗽、胸闷,浑身没劲,体重也掉得厉害,实在扛不住了,才不情不愿去了医院检查。
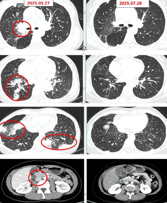
这一查可不得了,结果如晴天霹雳——她被确诊为肺癌IV期,也就是晚期,癌细胞已经转移到双肺、脑部、肝脏、胰腺、骨头等多个部位,还合并了严重的血栓,直接住进了ICU,情况危急!
当时,医生看着报告,也挺无奈,直言情况太差,预估生存期可能都不到3个月,一家人瞬间就慌了神,抱着最后一丝希望,赶紧把陈女士转到了福建省肿瘤医院,把所有的求生希望都寄托在医生身上。
可难题接踵而至,常规的基因检测做下来,肺癌常见的九大靶点全是阴性,市面上大部分靶向药对她都没用,治疗几乎走到了死胡同。
就在大家都快绝望的时候,医生团队没放弃,决定用更深度的检测技术,在海量基因数据里“大海捞针”,找那些特别罕见的突变靶点,没想到,还真让他们找到了——一个仅占肺癌患者不到1%的超罕见“钻石靶点”,叫NTRK基因融合突变。
而这个发现,真是给陈女士递去了救命稻草!
医生立刻针对性地使用NTRK抑制剂恩曲替尼,进行精准靶向治疗,没想到,奇迹真的发生了——用药仅仅3天,她身上的转移病灶就明显缩小,胸闷、乏力的症状也快速缓解,后续虽然因为药物副作用调整过方案,但在医生的细心照料下,肿瘤一直控制得很好。
如今,距离陈女士确诊晚期肺癌,已经过去一年多,她不仅稳稳熬过了当初“不到3个月”的生死关,病情稳定,生活质量也提高了不少。
不过,这件事也给所有人敲响了警钟:体检查出肺结节可别大意,更别轻信那些偏方、讳疾忌医,一定要听专业医生的话,早诊断、早治疗,别等到小毛病拖成绝症,到时候再后悔可就晚了!
