Nature子刊:揭示大脑疲劳时容易“走神”的原因!我们每个人都曾经历过在睡眠不

棋羽笑谈世界 2025-11-14 16:49:18

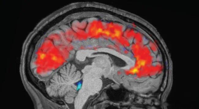
Nature子刊:揭示大脑疲劳时容易“走神”的原因!我们每个人都曾经历过在睡眠不足的第二天,注意力难以集中、思绪频繁飘移的困扰。近日,一项发表于《自然·神经科学》期刊的突破性研究,如今从生理层面揭示了这种“走神”现象背后的大脑机制。该研究发现,当人们因睡眠不足而陷入疲劳时,即使他们主观上感觉自己是清醒的,其大脑的活动模式却会表现出类似于即将入睡状态的特征。通过分析熬夜者的大脑扫描影像,研究人员观察到了一个惊人的现象:在受试者因疲劳而走神的瞬间,其大脑中出现了通常只在深度非快速眼动睡眠期才会被观察到的血液与脑脊液的规律性波动模式。大图像清晰显示,红色的血液与蓝色的脑脊液如同潮汐般在大脑中有节奏地进退。更为关键的是,研究指出了脑脊液在这一过程中的特殊角色。脑脊液是环绕在大脑和脊髓周围的透明液体,它构成了大脑重要的废物清除系统,负责在睡眠期间清理大脑代谢产生的毒素。研究发现,在因为疲劳“走神”的那一刻,脑脊液会被排出大脑区域;而当你猛然惊醒、重新集中注意力时,这股脑脊液又会立刻重新涌入。这种在清醒状态下异常激活的“清洗”波动暗示,极度疲劳的大脑正在强行利用短暂的“离线”瞬间,仓促地执行其必不可少的维护与清理工作,这或许是为了弥补因睡眠不足而缺失的生理修复过程。这一发现不仅解释了为何睡眠不足会直接导致认知功能下降和注意力涣散,也让我们对大脑的自我维护机制有了更深的理解。它从微观生理层面强有力地提醒我们,保证充足的高质量睡眠,对于维持大脑健康、清晰思维和高效认知能力而言,是绝对不可或缺的生理基础。

0 阅读:29
棋羽笑谈世界

棋羽笑谈世界

感谢大家的关注