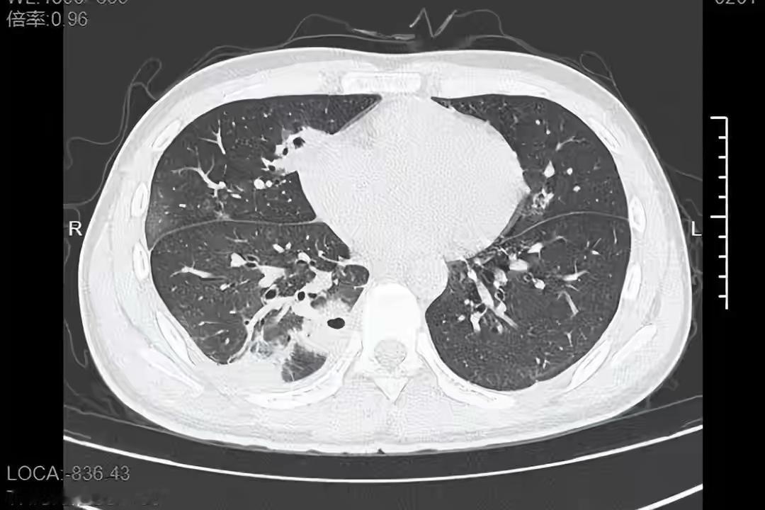
真是惊呆了! 浙江一大学生随手挤了颗痘痘,肺部竟然出了十几个洞?! 医生紧急提醒:这个位置的痘痘,再手痒也别碰! 事情是这样的:20岁的小林(化名)为了备考熬夜,脸上冒了颗黄豆大的痘痘。 他没洗手就对着镜子挤了,结果几天后开始发烧、咳嗽,右胸口像针扎一样疼。 送到医院一查——肺里竟然有十几个空洞,部分肺组织都坏死了!罪魁祸首就是那颗被挤的痘痘! 关键问题出在“危险三角区”! 医生解释,从鼻根到两侧口角的三角区域,血管特别丰富,而且没有“静脉瓣”(相当于血管里的单向阀门)。一旦挤压这里的痘痘,痘痘里的细菌(比如金黄色葡萄球菌)就会顺着血管“直通”全身: 往上可能进颅内,引发脑膜炎、脑脓肿; 往下顺着血液跑到肺部、肝脏,就像小林这样,细菌在肺里“搞破坏”,形成空洞,甚至可能引发败血症、脓毒血症,危及生命! 更吓人的是,这种感染发展的特别快。小林从挤痘到住进ICU,不过短短几天!好在及时治疗,才捡回一条命。 要记住:轻度痘痘别乱干预!皮肤自己会修复,乱涂刺激性产品反而增加风险。 不仅是痘痘,这个区域的任何“小伤口”都要注意清洁。 管住手!别频繁摸脸,手上细菌多,容易污染创口。 出现这些症状马上就医: 疼痛加剧、周围皮肤大面积红肿,伴随发热、乏力、胸痛、咳嗽、呼吸困难! 日常护理小贴士: 用温和的洗面奶洗脸,少吃高糖、高脂、辛辣食物,多喝水,规律作息,减少熬夜——这些都能降低长痘概率! 赶紧转发给身边爱挤痘的朋友,关键时刻能救命! (文章素材来自半岛晨报,侵删)
