泡泡资讯网
刘晓俊的文章
慢阻肺肺病 哮喘 正能量
2026-01-14 10:55
慢阻肺 每日分享 好方法分享
2026-01-09 09:54
🐱养宠人注意啦!每天和毛孩子贴贴撸毛的快乐背后,可能藏着肺部健康隐患。最近不少
2025-09-25 08:40
2025-07-31 12:17
大家需要咨询了解病情等可以私信留电话哦
2025-07-28 12:17
慢阻肺患者缺氧的原因是什么? 慢阻肺发生缺氧的原因主要有以下两个方面。
2025-01-18 22:40
治疗慢阻肺常用的药物有: 一:长效的支气管扩张剂,比如噻托溴铵。 二:长效的支
2026-01-18 22:59
慢性阻塞性肺疾病是什么病? 慢阻肺全称慢性阻塞性肺病,肺在呼吸过程中气体通过气道
2026-01-18 22:58
慢阻肺的全称为慢性阻塞性肺疾病,中国现在大约有一亿左右的慢阻肺患者,主要是中老年
2026-01-18 22:58
刘晓俊医生入驻平台分享科普。 成都大学附属医院呼吸内科刘晓俊。 你终于刷到我了,
2025-01-18 22:40
恭喜你刷到了我,从此你身边,多了一位,医生朋友,我叫刘晓俊,是成都公立三甲医院主
社会
2025-01-18 22:40
“感谢你们让我妈妈的生命力有了重生!” 来自甘肃的王奶奶患有哮喘、慢阻肺等多种疾
2025-01-18 22:40
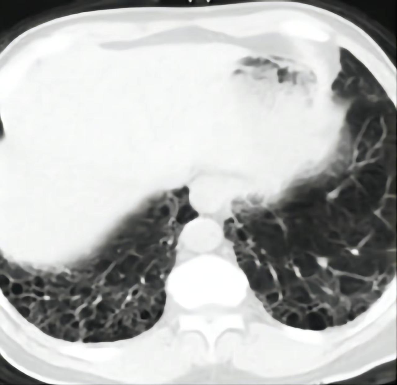
肺CT出现这4种情况都不需要药物干预。1、肺大泡 属于局限性肺气肿,一般只需注意
2025-01-18 22:40
消除肺结节的计划,没赶上的这次要抓紧了,你想要参加吗肺结节 健康 医学科普 健康
2025-01-18 22:40
前阵子检测接诊了一个患者,让我心心里忍不住发酸,报告出来的时候,我不知道该怎么给
2026-01-21 05:56
咳嗽变异性哮喘的治疗 咳嗽变异性哮喘是特殊类型的哮喘,治疗原则与典型哮喘相同,推
2025-01-18 22:40
咳嗽变异性哮喘如何治疗 咳嗽变异性哮喘和普通的哮喘治疗方式没有什么差别,可以给病
2025-01-18 22:40
如何治疗咳嗽变异性哮喘 咳嗽变异性哮喘是哮喘的一种特殊类型,治疗原则与哮喘一样,
2026-01-18 22:58
咳嗽变异性哮喘是特殊类型的哮喘,本质是与哮喘相同,治疗原则也与典型的哮喘相同。在
2025-01-18 22:40
变异性哮喘能治愈吗 变异性哮喘是比较难以完全治愈的,大部分患者日后都会复发。 变
2025-01-18 22:40
第一页
下一页
刘晓俊
感谢大家的关注
热门分类
推荐
热榜
军事
NBA
体育
社会
明星八卦
娱乐
财经
科技
汽车
历史
国际
游戏
动漫
公益
搞笑
商业
互联网
数码
国际足球
房产
家居
时尚
科学探索
职场
育儿
股票
教育
影视
情感
热点
中国军情
武器
中国南海
中国足球
亚洲杯
科比
综合体育
CBA
投资
大咖秀
外汇
创业
风口
SUV
豪车
概念车
优惠
新能源
美国
欧洲
朝日韩
俄罗斯
孕期
街拍
婚姻
正能量