泡泡资讯网

科学家证实磁场真的能改变基因表达,但它的要求非常严苛

科学家把一组被基因改造的早衰症(progeroid)小鼠放进一套磁通密度 2.0 mT、频率 60 Hz 的极低频电磁场

科学家把一组被基因改造的早衰症(progeroid)小鼠放进一套磁通密度 2.0 mT、频率 60 Hz 的极低频电磁场(ELF-EMF)里,按“开 3 天、关 4 天”的节奏循环曝照 90 天。实验结束时,这只本该在几个月内死于加速衰老的小鼠比对照组多活了十几周,毛发由稀疏变得密实,血管外膜变薄,肝脏和肾脏里 p21、Atf3、Il6、Ccl2 这些衰老标志基因的表达被压下一半以上。

但如果调整参数,不再采用“开 3 天、关 4 天”的节律,而是连续打开 14 天不休息,同样的小鼠会表现出很差的耐受性,死亡和体重下降都明显增加。

这组对比来自韩国东国大学 Jongpil Kim 团队近期发表于《细胞》(Cell)的一篇题为《电磁场诱导型体内基因开关,用于基因表达的远程时空控制》(Electromagnetic field-inducible in vivo gene switch for remote spatiotemporal control of gene expression)的研究。论文通讯作者是 Kim,合作方包括宾夕法尼亚大学、韩京国立大学。他们想做的,是把磁场变成人体内基因表达的遥控器。

图丨相关论文(来源:Cell)

过去二十年,生物学界一直在找更好的办法远程启动或关闭一段基因的表达。药物诱导(最常见的是四环素 Tet-On/Off 系统)、光诱导(光遗传学)、热诱导(热休克蛋白启动子)、超声诱导这几种方案都各自有自己的硬伤,药物有脱靶反应和代谢时间差,光穿不透深层组织,热和超声的时空精度都不够。相比之下,磁场看上去好像要更理想一点:没有组织穿透障碍,不留下物质残留,能几乎瞬时通断。但问题在于,细胞凭什么“感觉”到磁场?

2015 到 2016 年前后,洛克菲勒大学、弗吉尼亚大学等几家实验室在 Science、Nature Medicine 等期刊连续发表“磁遗传学”(magnetogenetics)工作,方法是把铁储存蛋白 ferritin(铁蛋白)与温度或机械敏感的离子通道(TRPV4、TRPV1)融合,号称施加磁场就能让通道打开、让神经元放电,甚至控制小鼠的进食行为。论文一出,一度轰动。

但紧接着,质疑声也随之而来。加州理工学院神经生物学家 Markus Meister 在 eLife 上发了一篇接近教科书级别的物理分析:按照已知的铁蛋白磁性和离子通道能量尺度,磁场和这套融合蛋白的相互作用能量,比细胞内时时刻刻存在的热涨落小了 5 到 10 个数量级。换句话说,随机的热扰动能量远大于磁场能提供的“推力”,这套机制在物理上根本不成立。

物理层面的反对之外,2019 到 2020 年至少有三个独立实验室报告,他们用完全相同的方法(Magneto2.0)重复不出原始论文里的神经元激活效应。磁遗传学一度陷入“有人看得到、有人看不到”的尴尬。后续研究提出一种间接路径:磁场让 ferritin 内部的铁离子重分布,生成活性氧(ROS),ROS 再触发下游信号,但其精度和可靠性仍然有限。

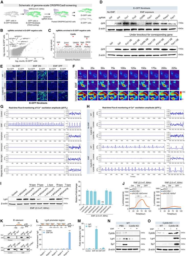
Kim 团队这次绕开了 ferritin 路线。他们的起点是一个十年前埋下的旧问题:2014 年他们团队在 ACS Nano 发表的一项研究显示,大约 50 赫兹的极低频磁场能让成体细胞被重编程为多能干细胞的效率提升几倍,但当年没搞清楚细胞究竟通过哪一个分子感知了磁场。十年之后,他们决定从头筛一遍:做全基因组 CRISPR-Cas9 敲除筛选,把两万多个基因挨个敲掉,看哪一个被敲掉会让磁场开关失效。

图丨图示摘要(来源:Cell)

他们先构建了一种报告细胞:在小鼠成纤维细胞里装入一段事先识别出的 Lgr4 启动子片段(后来被定义为 Ei 元件,约 450 个碱基),下游接绿色荧光蛋白(GFP)。这些细胞暴露在 2.0 毫特斯拉、60 赫兹的磁场下会亮起来。

向这批细胞池里引入覆盖 20,611 个基因、每基因 6 条 sgRNA 的慢病毒文库,让每个细胞被随机敲掉一个基因。打开磁场,有些细胞依旧能亮,有些不再亮。对后者富集的 sgRNA 做测序,那些被敲掉的基因就是磁场信号通路上的关键节点。

筛选里最显著的一个命中基因是 Cyb5b(cytochrome b5 type B,细胞色素 b5 B 型),这是一种位于线粒体外膜的电子载体蛋白,此前和磁场没什么关联。敲掉它,开关几乎完全失活;补回来,敏感性立刻恢复。

图丨电磁场诱导基因开关激活的 Cyb5b 依赖性机制(来源:Cell)

之后他们进一步拆解信号链。磁场暴露下,细胞质里的钙离子浓度出现一种特殊波形:精确、重复、和磁场周期同频的小幅振荡;而药物激动剂诱发的钙响应通常是一次起伏较大的缓慢涌入,两者形态完全不同。

这种机制在神经科学里被称为“频率编码”:同样是钙信号,节奏不一样,细胞给出的下游反应就不一样。磁场改变 Cyb5b 的氧化还原状态,后者调节一种 L 型钙通道(Cacna1f)的门控,让钙离子按磁场节律进出;钙振荡进一步激活转录因子 Sp7,Sp7 再结合到 Ei 元件上,启动下游基因表达。

磁场→基因表达这条分子链条由此被完整拼起。和此前的磁遗传学方案不同,链条上每一步都依赖细胞里本来就有的、可重复鉴定的蛋白,而不是外挂的合成纳米粒子。

有了可工作的系统之后,团队选了三个方向做活体验证。

三组里最直观的是抗衰老。团队把 Ei 元件接在 Oct4-Sox2-Klf4 这三个山中因子(Yamanaka factors,诱导多能干细胞的经典组合,去掉了容易致癌的 c-Myc)前面,做成 Ei-OSK 病毒,注入老年或早衰小鼠。短暂表达这三个因子可以把衰老细胞“年轻化”,这即是近年抗衰老领域最热的赛道“部分重编程”(partial reprogramming)。

部分重编程的难点在于,这三个因子如果连续表达,细胞会彻底丢掉原有身份,带来畸胎瘤和增生风险。药物诱导系统开关速度跟不上,光和热穿不到深层器官,让这件事在活体动物上一直难以安全执行。

磁场诱导在这里提供了新的解法:3 天开、4 天关的节律,让 OSK 表达足够高到能抹除衰老印记,又低到让细胞守住自己是成纤维细胞、皮肤细胞还是血管细胞的身份。早衰症小鼠的存活曲线被明显抬升,体重稳定,血管外膜变薄,皮肤伤口两周内胶原堆积减少近一半。

图丨通过电磁场(EMF)诱导的 OSK 基因开关进行体内部分重编程(来源:Cell)

第二组验证换到了阿尔茨海默病(AD)上。传统 AD 小鼠从出生起就过量表达突变型 APP 蛋白,子宫里就开始堆积 β 淀粉样蛋白(Aβ),和人类散发性 AD(病理往往在几十年后才出现)在时间轴上严重错位。Kim 团队把 Ei 接在人类突变型 APP 基因前面,得到的 Ei-APP 小鼠只有在接受磁场暴露时才开始表达致病 APP。

研究者可以选在小鼠 3 月龄(相当于年轻人)或者 20 月龄(相当于老年)时才“打开”病理。这是第一次在小鼠上看到年龄依赖的 Aβ 沉积,年轻小鼠几乎没有斑块,老年小鼠皮层和海马区大面积沉积,配套出现胶质细胞激活和记忆、空间辨别任务上的明显缺陷。这一步让“脑衰老本身的作用”和“Aβ 毒性的作用”第一次有机会被分开来研究。

第三组是抑郁症相关的血清素调控。Tph2-KI 小鼠因为色氨酸羟化酶基因突变,5-羟色胺合成不足。研究者把野生型 Tph2 接在升级版的 sEi 元件下面(加了 CMV 增强子,反应更快),立体定向注射到大脑的背侧中缝核。然后两种曝照方式做对比:每天照 12 小时(模拟生理节律)对每天照 24 小时。结果只有节律性 12 小时那组的抑郁样和焦虑样行为得到恢复,连续曝照反而没效果。

这一结论说明,血清素系统需要可能的不是一个持续被打开的阀门,而是一个跟着昼夜节奏开关的龙头。现有基因疗法大多是“恒开”模式,对需要节律的神经系统反而并不适配。磁场遥控恰好给了节律控制的可能。

空间精度和长期安全性是工程层面的另外两个关注点。团队做了微型化磁场发生器,贴在头颅、胸部、腹部或骨盆不同位置,让 Ei 开关只在对应器官被打开,周围组织几乎不响应,全身暴露缺乏空间精度的问题被部分解决。长期安全性上,野生型小鼠在同样的磁场条件下连续暴露 6 个月,神经、肝、肾功能指标,血液学检测,多器官转录组分析都没看出应激响应或所谓“电磁场敏感”标志物的异常。

这样一套系统要产生效果,需要同时满足特定频率、特定强度、特定脉冲波形、特定暴露时长,还得先把 Cyb5b 表达结构和 Ei 元件植入到细胞里。

说起来,这些条件乍一听很容易让人联想到长期活跃在互联网的那些阴谋论,比如“电磁场控制大脑”、“基站改变基因表达”等等。事实上,这篇论文发表后,社交媒体上围绕它的讨论里确实出现了不少这类联想,比如“住在变电站旁边对身体有影响原来是真的”,或者担心“以后可以随意激活或关闭特定基因”等等。

但实际上,Kim 团队这项工作其实反而证明了,细胞要对电磁场做出可控的基因反应,门槛极高。现实里的磁场想改变基因表达,不是走进一个 Wi-Fi 覆盖区或者经过一根高压线就能发生的事。

科学家花几十年研究,用 CRISPR 全基因组筛选、分子机制解析、病毒载体递送、活体实验验证一整套工具才做到按磁场节律开关一个基因。那些阴谋论者认为只靠电磁场就轻易改变基因,哪有这种好事?

且这套系统目前只在小鼠身上跑通。一副能均匀覆盖小鼠全身的亥姆霍兹线圈,搬到人身上就是另一个工程问题,腹腔深处或脑区要维持同样精确的磁场参数,尺寸、能耗、均匀度都不在一个量级。病毒载体的递送效率、免疫反应和脱靶整合,也是基因治疗领域从小鼠走向人时要重新面对的一整套难题。至于安全性,6 个月的连续暴露在寿命约两年的小鼠身上已经算长期观察,换到寿命长几十倍的人身上,这个窗口远远不够。

还有一层不确定性在机制本身。Cyb5b 是筛选里最显著的命中基因,但这种位于线粒体外膜的电子载体蛋白究竟怎么把磁场这种物理信号翻译成下游的钙振荡,论文给出的氧化还原 - 钙通道门控模型仍然属于机制假说,细节需要结构生物学和生物物理层面的独立工作来补充。磁遗传学当年栽跟头,就是因为机制解释经不起物理层面的推敲。

Kim 在论文里把这套系统称作“通过生物学解码电磁场的高度可调平台”。比起十年前磁遗传学高调登场又迅速退潮,这一次有全基因组筛选出的分子机制、三类独立的活体验证和 6 个月的安全性窗口,起点确实清晰得多。至于它会不会重蹈前辈们的覆辙,还有待时间验证。

参考资料:

1.https://doi.org/10.1016/j.cell.2026.03.029

2.https://doi.org/10.7554/eLife.17210

3.https://doi.org/10.1523/JNEUROSCI.1717-23.2024

4. https://pubmed.ncbi.nlm.nih.gov/25248035/

运营/排版:何晨龙